Гул в ушах: почему возникает, на сколько это опасно, симптомы и лечение, меры профилактики Шум…
Рубрика “Невропатолог”
Категория: Невропатолог
Аксональная полинейропатия: причины, симптомы и лечение Полинейропатия – сложный процесс, который возникает при поражении периферической…
С чем может быть связана боль в пальцах ног? Боль в пальцах ног возникает у…
Ребенок во сне вертит головой — причины, норма или патология и когда стоит обратиться к…
Что делать при сильной головной боли: причины и препараты Что делать при сильной головной боли?…
Установочная кривошея у новорожденных Новорожденных детей ежемесячно необходимо показывать педиатру. Раз в несколько месяцев малыши…
Боль в пищеводе: какими факторами вызвана и что с ней делать Когда у человека нарушены…
Синдром отмены «Атаракса» и других транквилизаторов Лечение неврологических и психических проблем направлено на восстановление нормального…
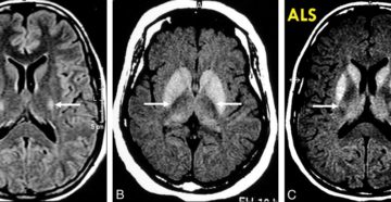
Боковой амиотрофический склероз — что это, причины, симптомы Боковой амиотрофический склероз — это дегенеративное заболевание…
Если ребенок в 7-8 месяцев не сидит и не ползает, надо ли паниковать? По медицинским…










