В минздраве предложили определять коронавирус без лабораторных тестов :: общество :: рбк Глава ведомства заявил,…
Рубрика “Онколог”
Категория: Онколог
Белый налет на небе у взрослого – Причины появления и методы лечения Если рот пациента…
Рак пищевода: проявления и прогноз Рак пищевода – злокачественное заболевание, развивающееся из клеток эпителия слизистой…
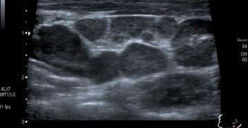
Узи лимфоузлов шеи и в подмышке: что показывает и как проводится Эндокринолог высшей категории Анна…
Увеличение лимфоузлов при аллергии Аллергия стала одним из самых распространенных заболеваний. По данным ВОЗ ею…
Коронавирус: лимфоузлы (воспаление, увеличение, болят, симптомы) Коронавирус: лимфоузлы, многие задаются вопросом, как себя ведут лимфоузлы…
Боли в подмышках: причины и лечение Разобраться в этиологии подмышечной боли поможет только специалист. Если…
Рак мягких тканей: симптомы, фото, лечение и начальная стадия — Опухоли нет Саркомы мягких тканей относятся…
Что означают родинки на пятке: приметы Античная мифология на примере всем известного героя утверждает, что…
Родинка покрылась корочкой: опасно ли это? — Симптомы.Ру Тяжело найти человека, на теле которого нет…










