Симптомы и лечение остеохондроза позвоночника 2 степени Многие из нас страдают от остеохондроза, но понимают…
Рубрика “Невропатолог”
Категория: Невропатолог
Межреберная невралгия отдает в молочную железу лечение Масталгией называют любую боль или дискомфорт в молочных…
Вегетососудистая дистония (ВСД): симптомы и лечение Вегетососудистая дистония (ВСД) – заболевание, широко распространенное среди населения,…
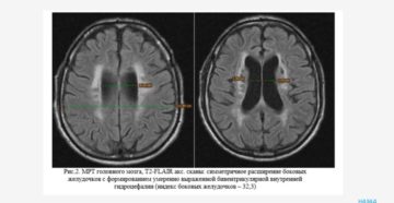
Что такое дилатация желудочков головного мозга Термин дилатация подразумевает расширение органа. Касается он не только…
Глицин — природный антидепрессант! Препарат глицин обладает массой достоинств, за счёт того, что одновременно решает…
Что лучше КТ или МРТ головного мозга: чем они отличаются – МЕДСИ Компьютерная томография –…
Немеет верхняя губа: при каких болезнях, причины, как понять почему, диагностика и лечения Иногда люди…
Нейропатическая боль — что это, почему возникает и как бороться Внимание! Самолечение может быть опасным…
Как отличить остеохондроз от мастопатии — Мастопатия Такое заболевание, как грудной остеохондроз встречается нечасто, так…










